Введение
Режим цветового допплеровского картирования (ЦДК) критически важен в современной ультразвуковой диагностике. Скорость кровотока рассчитывается методом автокорреляции данных акустического сигнала, используя специфическое фильтрование принимаемых сигналов. Данные о скорости частиц относительно направления распространения ультразвуковых лучей обрабатываются ультразвуковой системой для обнаружения ламинарного потока крови. Типичным примером является кровоток в сонной артерии – максимальная скорость может быть рассчитана путем коррекции угла к полученным данным. Данные о максимальной скорости кровотока в момент систолы широко используют для диагностики и поиска артериальных бляшек.
Однако сердечно-сосудистая система человека насыщена сложными участками, где кровоток принимает не только ламинарную форму. Например, в случае исследований при бифуркации и образовании вихревых токов крови. Такие сложные потоки не могут быть определены с помощью традиционного режима ЦДК, поскольку он измеряет одномерную скорость в сосудистом русле. Более того, зачастую режим ЦДК может регистрировать аномальные изменения параметров скорости ламинарного кровотока только в случаях значительного перекрытия русла сосуда бляшкой. Для исследования кровотока в искривленных сосудах и патологических случаях требуется новый метод, способный регистрировать мельчайшие изменения скорости направления движений частиц крови по сосуду с учетом всех анатомических особенностей его русла.
Технология V Flow способна динамически визуализировать кровоток в виде векторов движения частиц крови. Метод имеет высокую точность и применим на любом участке сосудистого русла без ограничений.
Ограничения режима ЦДК
При работе в режиме ЦДК ультразвуковые лучи сканируют отмеченную пользователем область интереса. Для получения цветовой визуализации на экране прибора требуется несколько циклов приема-передачи для обнаружения тока крови и достижения приемлемой точности измерения скорости. Количество подобных циклов зависит от размера сканируемой области и, в среднем, составляет от 8 до 16, а итоговое цветовое изображение является неким компромиссом между точностью измерения скорости и частотой кадров в режиме ЦДК.

При увеличении параметра частоты повторения импульсов (PRF) повышается предел измерения скорости кровотока и увеличивается частота кадров в режиме ЦДК. Однако предел увеличения PRF имеет существенное ограничение по глубине сканирования, поскольку эхосигнал должен проникнуть на глубину исследуемой области, отразиться и вернуться назад в пределах одного цикла. Например, при исследовании на сонной артерии, расположенной на глубине от 4 до 5 см. максимальное значение PRF составляет примерно 15 кГц (формула расчета PRF = 1/ (глубина_сканирования х 2 / С), где С – средняя скорость ультразвука в биологических тканях (1540 м/с)). Если размер регистрируемой области принять равным 10, то частота кадров будет равна примерно 15 Гц для изображения, состоящего из 100 линий. Описанный процесс также проиллюстрирован на рисунке 1. Дальнейшее увеличение параметра PRF приведет к критически низкому временному разрешению сканирования, что недопустимо для исследования на артериях с высокой скоростью кровотока. Что, в свою очередь, значительно затрудняет диагностику в случае стеноза сонной артерии.
Другим недостатком классического режима ЦДК является то, что временной интервал каждой итерации формирования строки изображения критически велик и, поскольку изображение формируется последовательно строка за строкой, то каждая сформированная строка изображения фактически обозначает скорость в разный момент времени.
Принцип работы технологии V Flow (Vector Flow)
Благодаря кардинально иному принципу формирования ультразвуковых кадров (технология зонного сканирования ZST+) и высокой аппаратной мощности прибора Mindray Resona 7 при однократном цикле приема-передачи сигнала может быть получено несколько строк изображения. Поскольку полученные строки отражают информацию о скорости частиц крови в один временной период, то исчезает необходимость программной синхронизации данных, что позволяет применять фильтрацию данных в режиме реального времени для удаления помех.

Для того чтобы получить направленный вектор скорости кровотока в любой его точке используются множество разнонаправленных циклов приема-передачи эхосигнала (Рисунок 2). Затем скорость (величина вектора скорости) рассчитывается с помощью метода, изображенного на рисунке 3. Благодаря множественному разнонаправленному сканированию, в каждой исследуемой точке кровотока ультразвуковая система получает вектора скорости в плоскости каждой итерации цикла приема-передачи эхосигнала. Истинный вектор скорости вычисляется путем компаундинга и регрессионного анализа полученных данных. Кроме того, поскольку платформа ZST+ хранит дамп оригинального эхосигнала, то он же используется для формирования изображения в B-режиме, что делает возможным как высокочувствительную регистрацию потока, так и высокое разрешение серошкального изображения.

Новый метод отображения кровотока на экране ультразвукового прибора
Для того, чтобы сделать новый метод визуализации интуитивно понятным и легким для интерпретации, сотрудники Mindray создали новый метод отображения кровотока на экране ультразвукового прибора. Поскольку технология V Flow позволяет получить информацию о скорости и направлении движении частиц крови в сосудистом русле в любой момент времени, то и движение частиц крови на экране прибора может быть проиллюстрировано в режиме реального времени, и более того, данные потока крови в русле сосуда могут отображаться в большем временном разрешении, чем в режиме реального времени. Подобная визуализация достигается с помощью сверхвысокой частоты кадров (до 400 Гц), поэтому прибором регистрируются сложные частные случаи потока с чрезвычайно высокой скоростью. Таким образом, ультразвуковой прибор может визуализировать в замедленном виде (с высокой частотой кадров) движение отдельных частиц крови по всему сосудистому руслу в таких сложных случаях как турбулентные, вторичные, вихревые и любые другие потоки.

Преимущества использования технологии V Flow
-
Чрезвычайно высокая скорость визуализации с частотой кадров более 600 кадров/сек.
-
Метод высокоточно визуализирует как скорость, так и направление кровотока в любой части сосудистого русла.
-
Ламинарные, вихревые, турбулентные, вторичные, ретроградные и любые виды кровотока могут быть визуализированы, даже в самых сложных клинических случаях.
-
Метод визуализации интуитивно понятен и состоит из массива цветных стрелок, которые демонстрируют скорость и направление движения частиц крови.
-
Возможность количественных измерений в любом месте кровотока.
Примеры из клинической практики применения режима V Flow
На изображениях, приведенных ниже показаны примеры из клинической практики врачей ультразвуковой диагностики, полученные в процессе апробирования прибора Mindray Resona 7. Приводится наглядные примеры сравнения традиционного режима ЦДК и режима V Flow (Vector Flow).

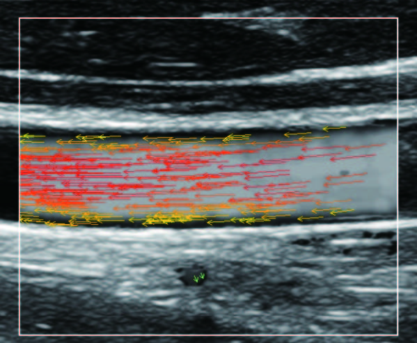
Изображен ламинарный поток сонной артерии. В режиме ЦДК отсутствует информация о профиле ламинарного потока. Режим V Flow визуализирует не только скоростные характеристики с помощью цветных стрелок, но и предоставляет данные о профиле ламинарного потока (быстрый поток в центре и медленный вблизи стенок сосуда).

Изображена яремная вена и бифуркация сонной артерии. CAA, ICA и ECA показаны на одном изображении. В режиме ЦДК отсутствует подробная гемодинамика. В режиме V Flow отображаются данные о скорости и направлении движения частиц крови во всей зоны интереса, включая изменения характеристик кровотока в сонной артерии и яремной вене.
Заключение
Клинические исследования демонстрируют, что метод визуализации кровотока F Vlow (Vecor Flow) предоставляет несравнимо большее количество полезной диагностической информации в сравнении с классическим режимом цветового допплеровского картирования. Есть все основания полагать, что дальнейшие клинические исследования подчеркнут реальную клиническую ценность использования нового метода визуализации кровотока, а также откроет новые перспективы для исследований патологий сосудов.
Благодарности
Профессору Alfred CH Yu и Billy YS Tiu из Университета Гонконга (the Univerity of HongKong (HKU)) за неоценимую помощь в создании технологии векторной визуализации кровотока.